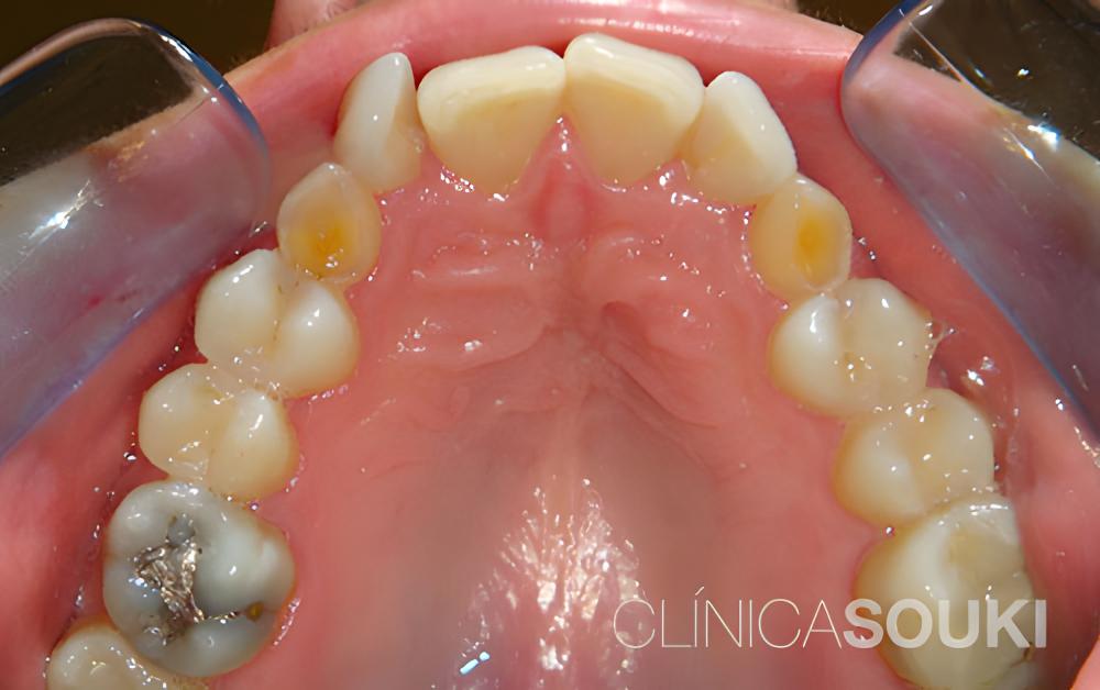
35 years old patient with baby canine teeth. Our orthodontist, Dr. Vilaplana, successfully managed to reposition the permanent canines in the upper arch.
BEFORE
AFTER
Manage Cookie Consent
This website uses cookies so that we can offer you the best possible user experience. Cookie information is stored in your browser and performs functions such as recognizing you when you return to our website or helping us understand which sections of the website you find most interesting and useful.
We never store personal information.
Strictly Necessary
Always active
Storage or technical access is strictly necessary for the legitimate purpose of allowing the use of a specific service explicitly requested by the subscriber or user, or for the sole purpose of carrying out the transmission of a communication over an electronic communications network. .
Preferences
Technical storage or access is necessary for the legitimate purpose of storing preferences not requested by the subscriber or user.
Marketing
Storage or technical access that is used exclusively for statistical purposes.Storage or technical access that is used exclusively for anonymous statistical purposes. Without a requirement, voluntary compliance by your Internet service provider, or additional records from a third party, information stored or retrieved solely for this purpose cannot be used to identify you.
Marketing
Storage or technical access is necessary to create user profiles to send advertising, or to track the user on a website or several websites for similar marketing purposes.